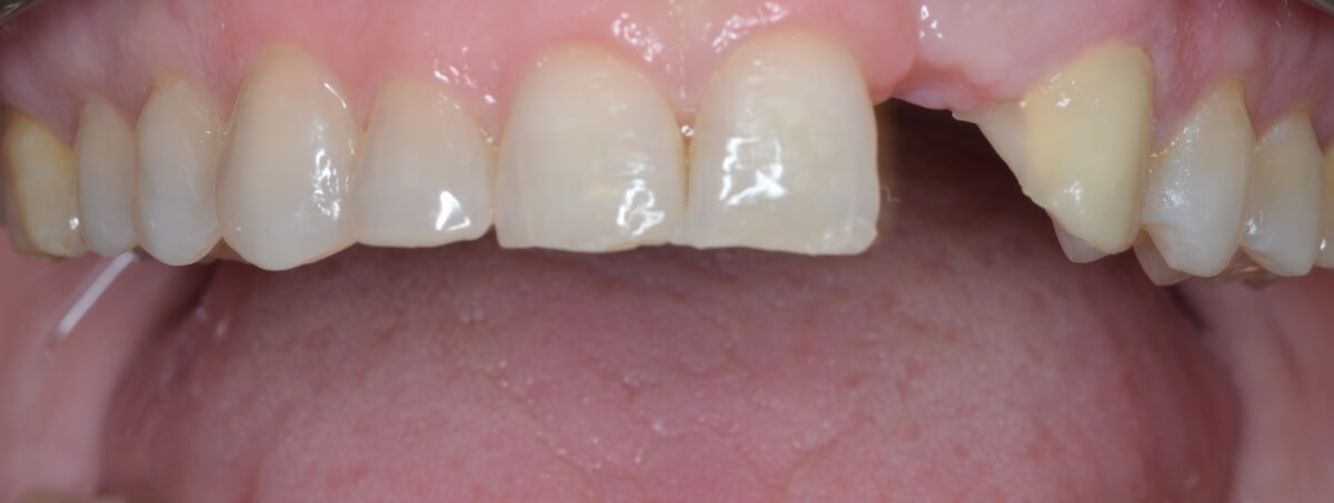
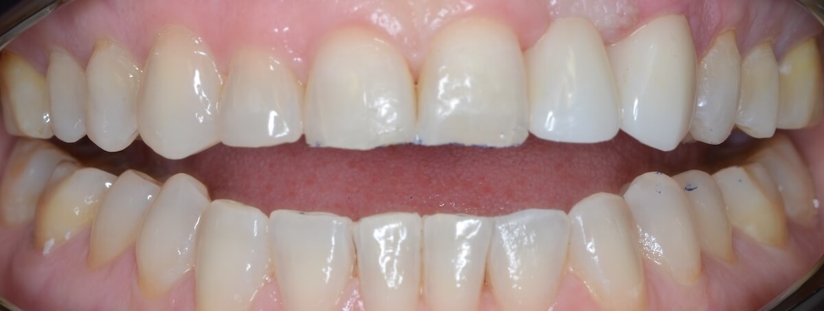
Bridge & Crown
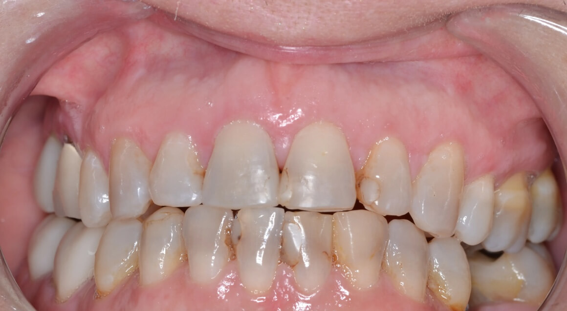
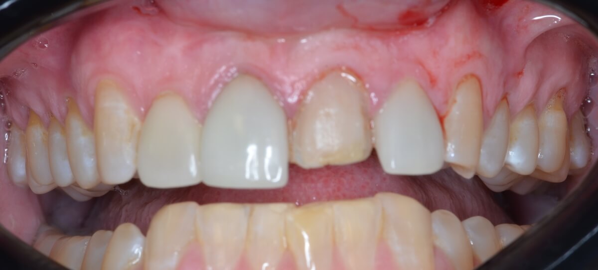
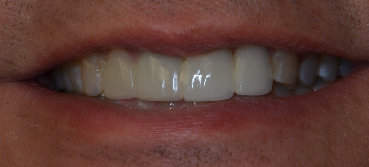
This patient had a calcified top-front tooth that was unable to be root canaled. We instead were able to extract the tooth and create a cantilever bridge that connected to one adjacent tooth. This bridge was able to restore her smile without the hassle of a removable appliance!
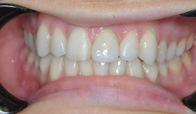
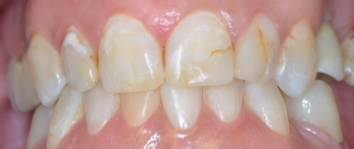
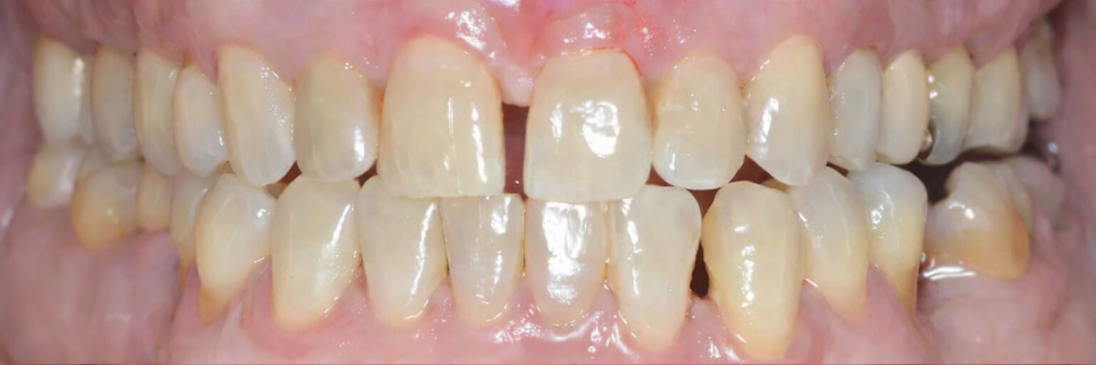
Crowns 4
This patient came into the office and stated she did not like her smile. She has tried doing adult braces to fix the gap in her front teeth, but to no avail. We were able to do 4 crowns on her front teeth to completely close that gap! We were also able to remove her silver fillings in the back so that you could not see them when she talked or laughed. We were able to provide this patient with confidence in her new smile!
Implants 2
This patient never liked her smile, and was eager to get it restored. By placing implants on both the top and the bottom, we were able to create a full new set of teeth that get put in permanently, saving her the trouble of dealing with dentures and giving her the confident smile she always wanted.