Recent Reviews
Top Rated Dentist Auburn, MA
At D.A. Dental, we understand that visiting the dentist can make many people nervous, and we're here to change that experience. Your smile is the first thing people notice about you, and we're committed to taking care of it with the highest-quality dental care delivered with compassion and knowledge.
As a native of Sturbridge, Dr. Athans is excited to serve her local community alongside our knowledgeable and committed team, who always put our patients' needs first. We believe in building strong, lasting relationships with our patients by providing affordable, comfortable, and individually tailored care. Our goal is to be your dentist for generations, making you excited about your smile and looking forward to every visit.
What We Do
Our Services
A Higher Standard of Dental Care
Choosing the right dental provider is an important decision for your health and confidence. At D.A. Dental, we're dedicated to delivering exceptional care that goes above and beyond. Here's why patients choose us:
Family-Centered Practice
We create a welcoming, family-friendly environment where patients of all ages feel comfortable and cared for.
Quality Care & Time
We take the time to listen to our patients and provide personalized attention that meets your individual needs.
Experienced Team
Our knowledgeable team brings expertise and dedication to every aspect of your dental care.
Smile Gallery
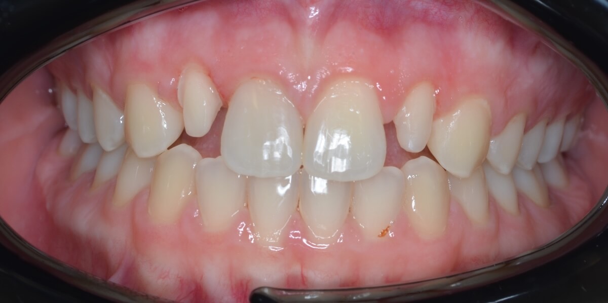
Crowns 1
This patient had peg laterals, where the second tooth on either side of the front teeth do not develop correctly. We were able to fix her smile with gum therapy to improve the aesthetics and crowns to let her smile come through!
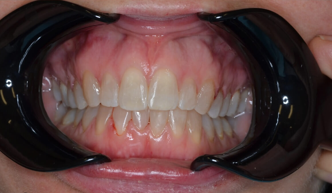
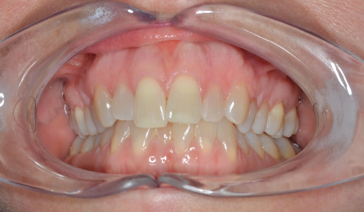
Invisalign
This patient wanted to straighten her teeth. We were able to do Invisalign and fix the overlap with her teeth!